Before & After Orthodontic Treatment

See the difference a confident smile can make! At Korch Orthodontics, Dr. Susan Korch and our team have helped patients of all ages transform their smiles with braces, clear aligners, and personalized orthodontic treatment. Explore our before-and-after gallery to see real results and imagine what’s possible for your own smile.

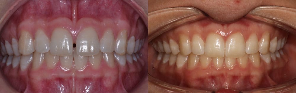
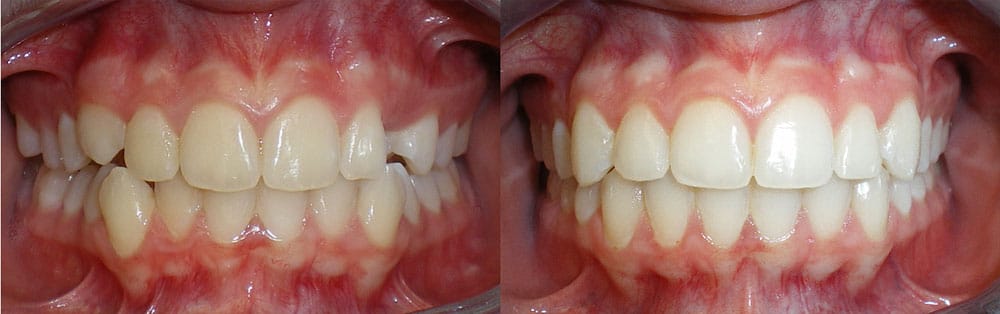
Patient 1

Adult patient with severe crowding and underbite-anterior cross bite-treated with braces 22 months

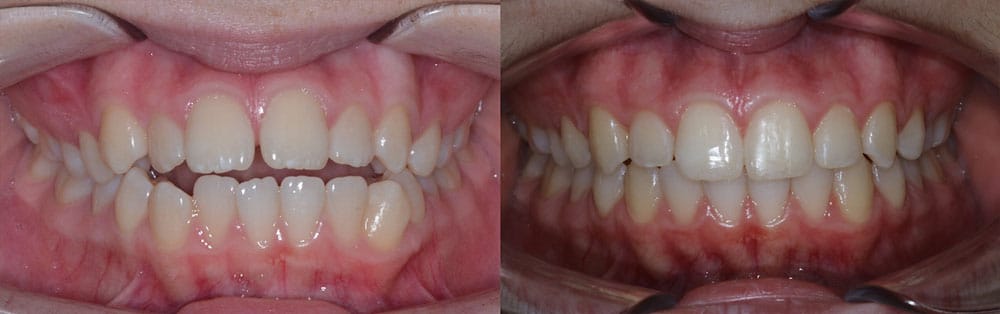
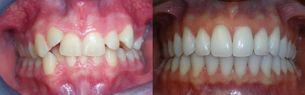
Patient 2

Young teen patient treated with phase I and II aligners with 24 months of active treatment and phase I retainer break in between. spacing and protrusion, class II, excess overset.

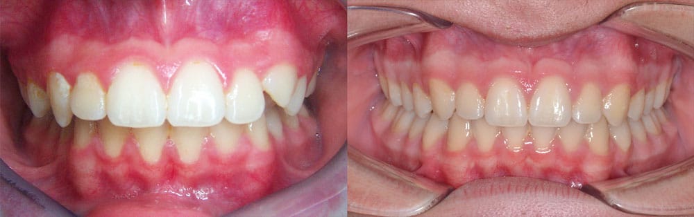
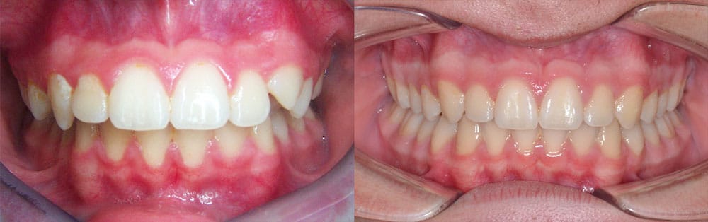
Patient 3

Teenage patient with impacted upper right canine, over-retained primary canine, cross bite and impacted canine. Treated with braces 24 months.

Patient 4

Patient 4 teenage patient treated with aligners for 18 months. class III, underbite, crowding.

Patient 5

Teenage patient treated with aligners for 18 months, crowding class II, open bite.

Patient 6

Young adult, severe deep bite with gum recession, treated with braces for 24 months, class II, crowding, severe deep bite.

Patient 7

Class II teen patient treated with braces for 22 months, with excessive OJ, spacing, protrusion.

Patient 8

Teenage patient treated with braces for 24 months, Class III, underbite, crowding.

Patient 9

Adult patient severe crowding, treated with aligners for 22 months. Crowding, anterior cross bite, Class III.

Patient 10

Teenage patient treated with aligners 20 months Anterior open bite.