Virtual Orthodontic Consultation
We’re excited to make orthodontic care more convenient with virtual consultations. By submitting a few photos of your smile, you’ll give Dr. Susan Korch the opportunity to review your case and begin discussing personalized treatment options, often before your first visit. It’s a simple, convenient way to get begin your new smile journey the comfort of your home. Get started in just a few minutes.
How it Works
![]()
1. Take Photos – Ask a friend or family member to help you take five clear photos of your smile using a smartphone or digital camera.
![]()
2. Submit Online – Upload your photos and share any questions of concerns with us using the form below.
![]()
3. Virtual Consultation – Dr. Korch will review your photos and provide personalized feedback along with recommended treatment options. Our team will follow up with next steps.
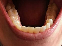
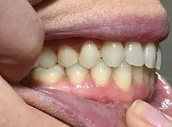
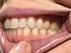
How to Photograph Your Smile
When taking your photos, please sit in a  well-lit room with natural light if possible. For the best results, we recommend having a friend or family member take the photos for you, as it can be difficult to capture clear images on your own.
If you have any questions about the process or the form, Â please contact our office-we’re always happy to help.
"*" indicates required fields